Vese ultrahang
A vese ultrahangos vizsgálhatósága
A vesék kiválóan vizsgálhatóak ultrahangal. Bab alakú páros szerv ami a has hátsó részében helyezkedik el kétoldalt. Ellentétben a hasnyálmirigyel, viszonylag könnyen vizsgálható szerv, hiszen nem fedik csontok. A bordakosár alatt helyezkednek el, vagy ha pozíciójuk kissé magasabban is van, egy mély légvétel után általában jól látótérbe hozhatók. Tovább segítheti a vizsgáló orvost, hogy nem csak előlről, hanem a has oldalsó része felől, vagy ha szükséges (pl. kifejezetten gázos belek esetén) a hát felől is megkísérelhető a vizsgálat.(1. kép)
A vese felépítése és működése
A vese a parenchymából és a vizeletelvezető rendszerből áll.
Ha nagyon le akarjuk egyszerűsíteni, akkor azt mondhatjuk, hogy a vese funkciója a vér “megszűrése”, amit a parenchyma végez. Ennek során a vese a felesleges anyagokat a vérből kiszűri és vizeletet termel, ami a vizeletelvezető rendszeren keresztül távozik a szervezetből. (2. kép) Ezek a vesemedence, a hugyvezeték, hugyhólyag és végül a hugycső.
A vese működési zavarainak észlelése
A vese funkciójának romlásával nem feltétlenül jelentkezik strukturális eltérés. Ezek sokszor csak a laborvizsgálatok során válnak egyértelművé, viszont előrehaladott stádiumú veseelégtelenség esetén előfordulhatnak ultrahanggal is látható eltérések. Ilyenkor a vese nehezen különíthető el a környezetétől, kisebb lesz és szabálytalan szerkezetű.
Gyakori eltérések ultrahang vizsgálat során
A vese ultrahang vizsgálata során talált leggyakoribb eltérések a vesekő, a vese cysták. Ritkában gyulladást és tumort is vizsgálhatunk, illetve láthatunk a vese ultrahang során. (3. kép)
A vesekő gyakran típusos vesetáji panaszokkal jelentkezik. A fájdalom az ágyék irányába sugározhat. Ultrahang során a kő a vesemedencében, vagy annak kis nyulványaiban, az úgynevezett vesekelyhekben, vagy a húgyvezetékekben helyezkedhet el. (4. kép) A vesekő egy bizonyos méret felett akadályozza a vizelet elfolyását, így körülötte, vagy az előtte lévő szakaszon a vese üregrendszere vagy a vizeletelvezető rendszer feltágul. A kő mint ahogy az epekő is, hangárnyékot ad, és felszínéről nagymértékben verődik vissza az ultrahang hullám (5. kép).
A vesekő ha a húgyvezetékben helyezkedik el, nem biztos, hogy látótérbe hozható, hiszen a húgyvezeték egy vékony struktúra, ami a hasüreg leghátsó részében fut (6-7. kép).
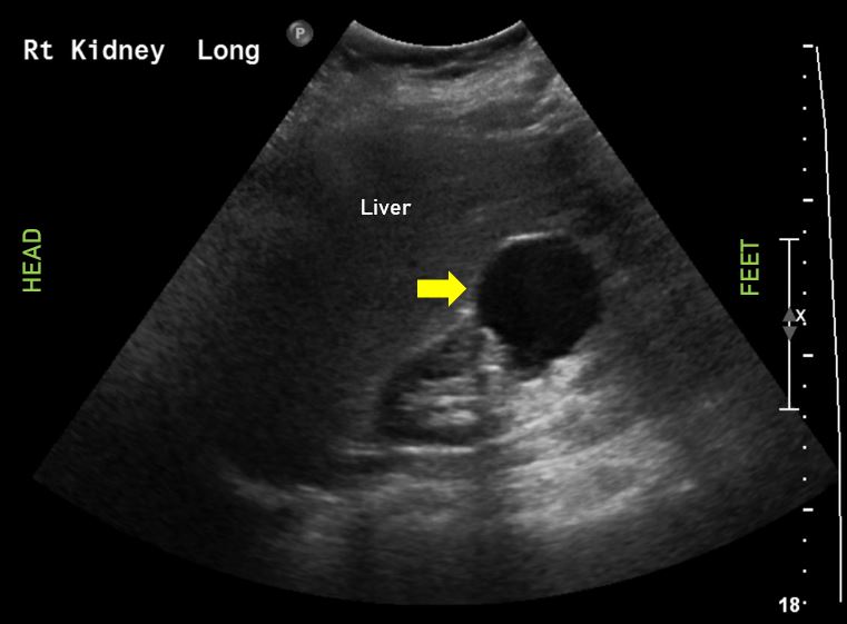
A vesecystákat gyakran találunk a vesék vizsgálata során. Általában teljesen tiszta folyadékot tartalmaznak. További kivizsgálásuk abban az esetben szükséges, ha úgynevezett komplikált cystának minősülnek. (8. kép)
Gyulladásos és daganatos elváltozások
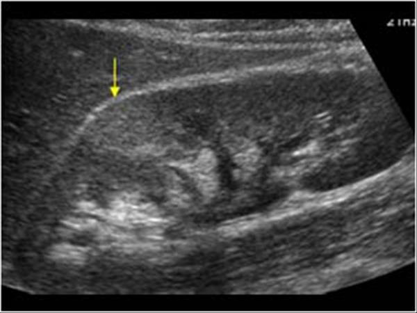
Akut vesegyulladás esetén vesetáji fájdalom és láz a vezető tünetek, gyakori vizelési inger.
Ilyen esetben a vese szabálytalan megjelenésű, inhomogén, benne echodús és echoszegény területek egyaránt láthatóak attól függően, hogy bevérzés vagy oedema van-e (9. kép). A vizeletben is láthatunk egyes esetekben inhomogenitást.
Gyakori lelet lehet az angiomyolipoma ami egy jóindulatú eltérés, kis echodús elváltozás a vese parenchymában.
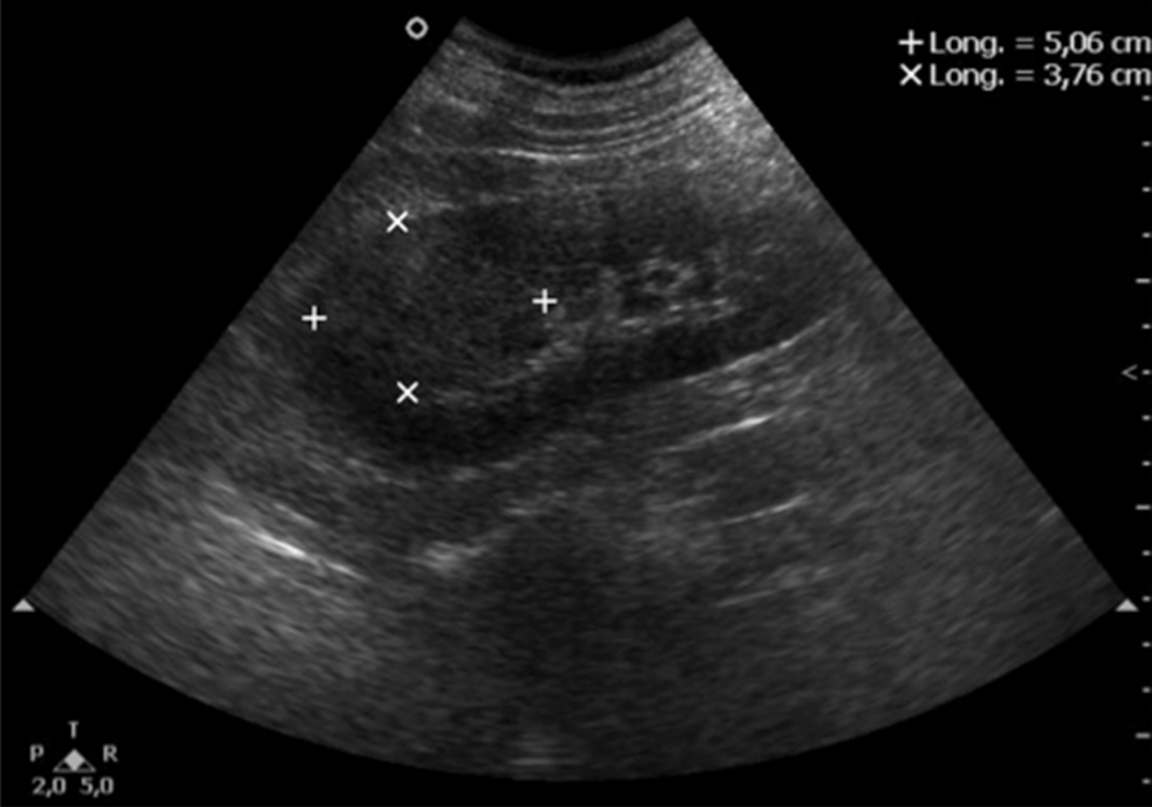
A daganatok érinthetik a vese parenchymát, (10. kép) vagy a vizeletelvezető rendszert. Ez utóbbival ultrahang vizsgálat során a leggyakrabban a hólyag esetében találkozunk, ahol körülírt fali megvastagodásként, vagy karfiol szerű kinövésként jelentkezik. (11. kép) Ezek igazán jól csak telt hólyag mellett ítélhetőek meg. Többek között ezért is szükséges teli hólyaggal jönni a vizsgálatra.
Fejlődési variációk
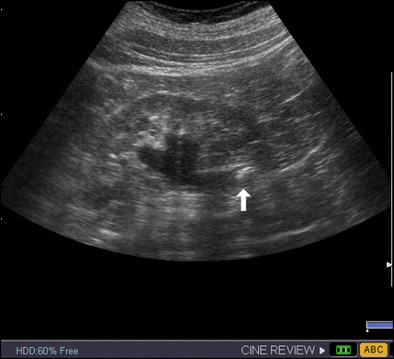
Vese vizsgálat során viszonylag gyakran előfordulhat az is, hogy különböző fejlődési variációkat látunk. Ilyen lehet a patkóvese. Ebben az esetben a fejlődés során a vesék nem válnak teljesen külön, hanem egy állomány híddal (parenchyma híd) kapcsolódik a két vese egymáshoz (12. kép). Másik gyakori fejlődési variáció lehet, hogy a vese nem a megszokott helyén található, hanem a jóval lejjebb, a kismedence bemenet környékén. Ezt hívjuk ektópiás vesének.
Képmagyarázat
1. kép:

Vizeletelvezető rendszer
Ezen a képen a vesék hasüregben való elhelyezkedését, valamint a vizeletelvezető rendszert láthatjuk. A bordaív alatt a hasüreg hátsó részében helyezkednek el a vesék. Ezektől vezet a húgyvezeték egészen a kismedencében elhelyezkedő húgyhólyagig.
2. kép:

Vese
Egy sematikus ábrát láthatunk a veséről. A vese parenchyma 2 részből áll, a velő (medulla) és a kéreg (cortex) állományból. A vizelet a vesemedencében gyűlik össze (pelvis), ahonnan a húgyvezetéken (ureter) keresztül távozik a hólyag irányába. Láthatjuk, hogy a vesemedencében relatív nagyobb tér áll rendelkezésre mint a hugycsőben, ami miatt a fent keletkezett nagyobb kövek nagyobb eséllyel akadhatnak el a szűkebb húgycsőben. A vesének azt a részét ahol a vizeletelvezető rendszer kilép a veséből kapunak nevezik. A vesét ellátó erek is itt lépnek be illetve ki a veséből.
3. kép:

A vese ultrahangos képe
Ezen a képen a vese sematikus ábrája és mellette az ultrahangos képe látható.
4. kép:

Vesekő sematikus ábra
A képen a vesekövek láthatóak mind a vesemedencében és annak kehelyvégeiben valamint a húgyvezeték kezdeti szakaszán. Az ábra jól szemlélteti, hogy az ilyen kövek hogyan zárhatják el a vizelet útját és okoznak ezzel vizeletelfolyási akadályt.
5. kép:

Vesekő ultrahang képe
Ezen a képen vesekövek láthatóak a vese üregrendszerében, melyek hangárnyékot képeznek az epekövekhez hasonlóan.
6. kép:

Húgyvezeték kő 1.
Ezen a képen egy követ láthatunk az ureter kezdeti szakaszán (fehér nyíl). Az előtte lévő szakasz valamint a vese medence tágabb.
7. kép:

Húgyvezeték kő 2.
Ezen a képen a húgyvezetékben látható szintén egy kő, közvetlenül a húgyhólyag előtt. A sötét struktúra ami a kép felső részén helyezkedik el maga a húgyhúlyag (BL). Alatta látható a tágult húgyvezeték és benne a tágulatot okozó kő, ami világos (echodús) megjelenésű (sárga nyíl).
8. kép:

Vese cysta
Egyszerű vese cysta képe a jobb vesében. A vese fölött a máj látható. A vese alsó pólusában megfigyelhető kerek sötét (echoszegény) képlet a vese cysta.
9. kép:

Vese gyulladás
A képen a nyíllal jelzett területnek megfelelően lehet látni egy elmosódott szélű világosabb területet, amely gyulladásra utal.
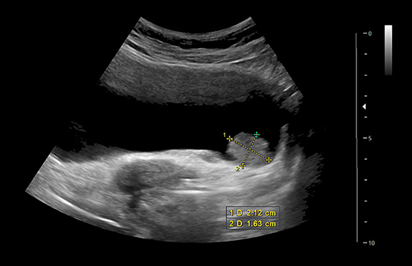
10. kép:

Vese daganat
A vese daganatok sokszor nehezen észrevehetőek ultrahangal, mert a megjelenésük bizonyos esetekben nagyon hasonlít a vese normális állományára. Ebben az esetben a jelölések mutatják a daganat határait. Támpontot ad a diagnózisban hogy a vese kontúrját az eltérés kidomborítja, illetve a vese üregrendszere felé is bedombrodik az elváltozás.
11. kép:

Hólyagtumor
Ezen a képen egy hugyhólyag falából kiinduló daganat látható. Itt egy karfiol szerű kinövés látható a hugyhólyag alsó falán, ami a képen a lemért képletnek felel meg.
12. kép:

Patkóvese
Ezen a képen egy fejlődési variáció látható. Ez a patkóvese. A képen jól látható a jobb és a bal vese és az azokat összekötő parenchyma híd ami a gerinc és a hasi főverőér előtt helyezkedik el.